Histology Spotlight - Smell
- ITAE Group

- Dec 7, 2022
- 2 min read

Welcome to the wonderful world of histology. Histology is how we study the human body on a cellular level. Tying in nicely to last week’s post on the special sense of taste, this week we will be taking a look at olfaction – smell.
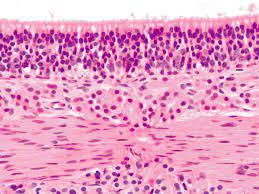
The olfactory epithelium is pseudostratified columnar, so very similar to the respiratory epithelium which lies beside it. The olfactory epithelium, however, is taller and stains more darkly and does not have any goblet cells. On a slide, you can clearly see the change from one type of epithelium to the next.
The olfactory epithelium has three types of cells. The olfactory receptor cells are bipolar neurons with nuclei in the middle of the epithelial layer. These receptor cells have an olfactory vesicle that extends above the epithelium with long nonmotile cilia. Receptors on these 10 to 20 cilia respond to over 10000 odorants that can be detected by humans.
Next, the cell is depolarised producing an action potential. The axons of these cells pass out of the epithelium and into the olfactory bulb. These receptor cells are types of neurons. The support cells provide mechanical and metabolic support to the neurons with the nuclei being present in the upper section of the epithelium.
The support cells have many apical microvilli which secrete odorant-binding proteins and have enzymes that play a role in deactivating odorants to terminate their effects. The last type of cell present is the basal cell. These are stem cells. Their nuclei are in the basal part of the epithelium. These stem cells are required as the receptor cells only have a life span of one month as they are directly exposed to the external environment!
Humans only have about 10cm2 of olfactory epithelium whereas dogs can have up to 150cm2. That’s why your dog can always sniff out what’s in the fridge!
Get your tickets to The Post Mortem Live here!



.png)
Comments